When most people think of root canals, they imagine a painful tooth cavity. But here’s the surprising truth: you can still need a root canal even if there’s no visible decay at all. At CornerStone Dental in La Grange, TX, we often hear patients ask, “Why would I need a root canal if I don’t have a cavity?” The answer comes down to what’s happening inside your tooth—and why saving it is so important.
Root Canals Aren’t Just for Cavities
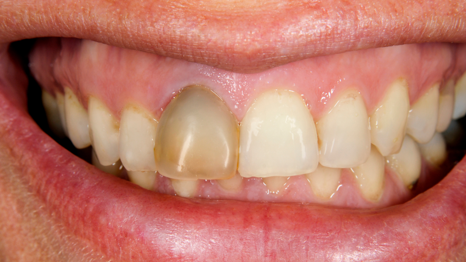
Cavities are a leading cause of root canals, but they’re not the only one. A root canal is needed anytime the pulp inside your tooth (the living tissue that contains nerves and blood vessels) becomes infected or damaged. This can happen from:
- A deep cavity
- A cracked or fractured tooth
- Trauma or injury to the mouth
- Repeated dental procedures on the same tooth
- Chronic grinding or clenching
Even without a visible cavity, your tooth can still be at risk.
What Happens During a Root Canal
A lot of patients in La Grange are nervous because they don’t know what actually happens during the procedure. Here’s a quick breakdown:
- Numbing the Area – Local anesthesia makes the procedure virtually pain-free.
- Accessing the Tooth – A small opening is made to reach the pulp.
- Removing the Infection – The damaged tissue and bacteria are carefully removed.
- Cleaning & Sealing – The inside of the tooth is disinfected and filled.
- Restoring Strength – A crown is usually placed afterward to protect the tooth and restore full function.
The whole process usually takes 60–90 minutes, and many patients are surprised at how simple and comfortable it feels.
What If You Don’t Get a Root Canal?
If you ignore an infected tooth, the problem doesn’t go away—it gets worse. Untreated infections can spread into the jaw, form abscesses, or even affect overall health. Eventually, the tooth may need to be extracted, which leads to more costly treatment like implants or bridges. That’s why root canals are considered a tooth-saving procedure—they allow you to keep your natural tooth instead of losing it.
How to Prevent Needing a Root Canal
The best way to avoid root canals is through prevention:
• Brush and floss daily
• Visit CornerStone Dental in La Grange regularly for cleanings and exams
• Treat cavities early before they reach the pulp
• Protect your teeth from grinding with a night guard if needed
• Address cracks or chips before they cause deeper problems
Gentle Root Canal Therapy in La Grange
At CornerStone Dental, we believe root canals don’t have to be scary—they’re an effective, comfortable way to save your natural tooth and restore your health. Whether your problem started with a cavity or another issue, our team is here to provide gentle care every step of the way.
📞 Call us today at 979-968-9451 or book your appointment online to schedule your consultation.


